Eğitici Bilgiler

KEMİK DOKUSU KAYNAKLI SELİM TÜMÖRLER

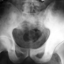
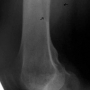
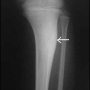
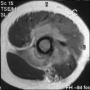
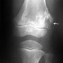
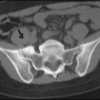
Osteoid Osteoma

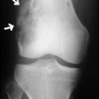
Kemik üreten selim bir kemik tümörüdür. Sıklıkla 10 - 20 yaşları arasındaki erkeklerde görülür. Ana şikayet zonklayıcı, genellikle geceleri artan ve uykudan uyandırabilen, aspirin ile geçebilen bir ağrıdır. Bazı hastalar, ağrı nedeni ile uzvunu kullanamama, buna bağlı eklem hareket kısıtlılığı ve şekil bozukluğu (kontraktür), uzuvda incelme, omurgada eğrilik gibi şikayetler ile başvurur. En sık femur boynunda ve tibiada olmakla birlikte tür kemiklerde ortaya çıkabilir. Lezyonun karakteristik özelliği düz grafide litik görülen bir çekirdek (nidus) ve bunun etrafında yoğun kemik oluşumu ile karakterize sklerotik bir halkadır. MRG, nidus çevresinde ve bazen yumuşak dokuya taşan ödemi abartarak gösterdiği için çoğu zaman daha korkutucu tanıları düşündürebilir. Sintigrafi odaksal bir tutulum ve ortasında tutulum olmayan bir nokta gösterecektir. Osteoid osteoma için en değerli ve hassas tanı koydurucu yöntem, bilgisayarlı tomografidir. İnce kesitli (en fazla 2 mm) BT incelemesinde nidus ve çevresindeki skleroz tipik olarak gösterilebilir.

Çok uzun süreli NSAID ile tedavi edilebilen vakalar bildirilse de bu diğer yan etkileri ve çok düşük başarı ihtimali nedeniyle tercih edilmemelidir. Tercih edilecek yöntem nidusun uzaklaştırılmasıdır. Cerrahi yöntemle bu bölgenin bulunup nidusun çıkartılması ve çevresinin tur aleti ile alınması yeterlidir. BT altında bu bölgeye ulaşılarak radyofrekans cihazı ile nidusun yakılması yeni uygulanmaya başlanan ve başarı oranı henüz değerlendirilememiş bir yöntemdir. Açık cerrahi (ameliyat) halen "altın standart" yöntem olup patolojik inceleme için görerek yeterli materyal alınmasına da imkan sağlar.

 Örnek-1

 Örnek-2

 Örnek-3

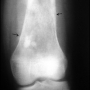
Osteoblastom

Daha nadir olarak görülen büyük bir osteoid osteomadır. En sık omurganın arka bölümünde ve uzun kemiklerin metafizinde ortaya çıkar. Ortadaki litik bölüm osteoid osteomada görülenden çok daha büyüktür ve etrafındaki skleroz çok daha incedir. İçindeki doku, osteoid osteomaya göre daha agresiftir. Omurgadaki ağrılı lezyonlar deformitelere (omurga eğriliğine) neden olabilirler. Tedavi bu bölgenin küretajı, tur aleti ile kazınması ve kemik dokusu ile doldurulmasıdır.

 Örnek-1

 Örnek-2

 Örnek-3

 Örnek-4

KEMİK DOKUSU KAYNAKLI SELİM - AGRESİF TÜMÖRLER

Agresif Osteoblastom

Daha çok çocukluk çağında ortaya çıkan, agresif seyirli bir osteoblastomdur. Osteosarkom ile ayırıcı tanısı güçtür ancak son derece önemlidir. Tedavi sonrası lokal nükslerin çok kolay ortaya çıkması ve agresif davranış göstermesi nedeniyle de osteosarkomla karıştırılması mümkündür. İdeal tedavi yöntemi, feda edilebilir bölgelerin çıkartılması, diğer bölgelerde ise derin temizlikten sonra nüksü engelleyici yöntemlerin ilave edilmesidir. Ameliyat sonrasında yakın takip devam etmelidir.


KEMİK DOKUSU KAYNAKLI HABİS TÜMÖRLER

Osteosarkom
Kemik iliğinden köken alan tümörler hariç tutulduğunda, en sık görülen habis kemik tümörüdür. Normal olmayan, aşırı kemik dokusu oluşturma özelliği taşır. Yerleşim ve davranış özelliklerine bağlı tipleri vardır.

örnek-1

örnek-2

örnek-3

örnek-4

örnek-5

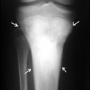
Yüksek Dereceli (high grade) Osteosarkomlar
- Klasik Osteosarkom
Tüm kanserler arasındaki görülme sıklığı yaklaşık %1'dir. Erkek / kadın oranı 1.5-2 / 1 dir. Genelde 10-30 yaşları arasında (%75) ve kemiklerin ekleme komşu uçlarında görülse de kemiğin herhangi bir bölgesinde ortaya çıkabilir. Giderek artan, istirahat ve ilaçla geçmeyen ağrı, sert, hareketli olmayan şişlik gibi şikayetler en sık rastlanan bulgulardır. Bir çok hasta, o bölgede daha önce herhangi bir darbe yaşandığını söylese de bu konuda herhangi bir bilimsel ilişki gösterilememiştir.

Şişlik, vücut boşluklarına doğru büyüyebilecek bir yerde ise şikayetler daha geç ortaya çıkar. Farkedilen ağrı ve şişliğin artışı hızlıdır. Tanı koyulması geciktikçe, tümör hem komşu dokulara yayılır hem de vücudun başka bölgelerine yayılma riski artar. Hastanın genel durumu uzun süre bozulmaz. Kilo kaybı ancak geç dönemde ortaya çıkar. Laboratuar tetkiklerinde alkalen fosfataz ve sedimentasyon yüksekliği dikkati çeker.

Tanı koyma aşaması dikkatli bir muayene ile başlar. Düz grafi (normal röntgen), osteosarkom teşhisinde çok önemlidir. Deneyimli bir hekim tarafından incelendiğinde röntgen çoğu zaman tanı için yeterlidir. Osteosarkom şüphesi bulunanbir hasta, mutlaka bu konuda uzmanlaşmış bir adrese yönlendirilmelidir, çünkü tanı için izlenecek yol ve yöntemler tedavi başarısı ile direkt ilişkilidir. Tüm vücut sintigrafisi, tümör bölgesinin MR incelemesi ve akciğerin BT tetkiki ile hastalığın lokal ve sistemik yayılımı değerlendirilir.
Klasik osteosarkomun cerrahi tedavisi, tümör ve tümör dokusu ile temas etmiş tüm bölgenin, üzerinde yeterli kalınlıkta sağlıklı doku örtüsü bırakılarak, tümörü görmeden ve tümöre dokunulmadan çıkartılmasıdır. Kemoterapi, tümörü küçülterek çıkartılmasını kolaylaştırmak, bölgesel tekrar (lokal nüks) riskini azaltmak ve sistemik yayılmayı (metastaz) engellemek için ameliyat öncesi (neodjuvan) ve ameliyat sonrası (adjuvan) mutlaka uygulanmalıdır. Uzuv koruyucu cerrahi, tercih edilen cerrahi tedavi yöntemidir. Uzuv rekonstrüksiyonu çeşitli yöntemlerle yapılabilir.
Akciğerlerde ortaya çıkabilecek metastazlar kemoterapi ve cerrahi ile tedavi edilirler. Hastalığın tamamen tedavi edilebilme oranı doğru ve başarılı yöntemlerle % 65-70 olarak belirlenmiştir.

- Telanjiektatik Hemorajik Osteosarkom
Klasik osteosarkomda kemik yapımı daha belirgin iken bu tipte yıkım daha ön plandadır. Bu da tümörlü bölgede içi kan ile dolu büyük boşlukların oluşmasına yol açar.
Bu tip de yüksek dereceli (high grade) bir osteosarkomdur. Yaş, cins ve lokalizasyon açısından fark yoktur. Kemiğin mekanik direnci çok zayıfladığı için hastalar sıklıkla (özellikle ilerlemiş dönemlerde) kendiliğinden oluşan kırıklarla (patolojik kırık) hekime başvururlar. Hastanın cerrahi tedavisi yapılana kadar (ameliyat öncesi kemoterapi aldığı dönemde) istenmeyen kırıkların oluşmasını engellenmek için uzuv mutlaka yükten korunmalıdır (alçı, değnek, vb.)
Radyolojik görüntü, anevrizmal kemik kisti ve bazen de soliter kemik kisti gibi selim kemik lezyonlarıyla karışabilir. Deneyimli olmayan bir göz, telanjiektatik bir osteosarkomu bu tür selim lezyonlarla karıştırıp biopsiye gerek duymadan tedaviye giderse bu dramatik sonuçlara yol açabilir. Tedavi protokolü klasik osteosarkom gibidir.

örnek-1

örnek-2

- Küçük Hücreli Osteosarkom
Patolojik incelemede Ewing sarkomu ile karışabilir. Tedavi protokolü, Ewing sarkomu protokolü ile aynıdır.

örnek-1 Küçük Hücreli Osteosarkom

- Sekonder (İkincil) Osteosarkomlar
Daha önce önce mevcut başka bir hastalığın zemininde, örneğin paget hastalığı, bazı selim tümörler (fibröz displazi, selim kıkırdak tümörleri), kronik kemik iltihapları ve daha önce radyoterapi görmüş bölgelerde habis değişim sonucu ortaya çıkan osteosarkomlardır. Bunlar ileri yaş grubunda görülen (40-60 yaş), yüksek dereceli tümörlerdir. İkincil osteosarkomlar, yardımcı tedavi yöntemlerine çok duyarlı değildir, bu yüzden hızla geniş ya da radikal cerrahi uygulanması gerekir. Daha önce yukarıda sayılan hastalıklardan birine sahip olan ve sonradan şikayetlerinin karakterinde değişiklik (ağrıda artış, şişlikte hızlı büyüme) ortaya çıkan hastalar, habis dönüşüm olabileceğini akılda tutarak derhal bu konuda uzman bir doktora veya merkeze başvurmalıdır.

örnek-1 Sekonder (ikincil osteosarkomlar)

Düşük Dereceli (low grade) osteosarkomlar
- Parosteal Osteosarkomlar
Kemiğe bitişik dokulardan çıkan ve kemiğin etrafını sararak yavaş yavaş büyüyen bir osteosarkom türüdür. Ancak ilerlemiş aşamalarda kemik dokusunun içine girer. Histolojik olarak düşük dereceli bir osteosarkomdur. Klasik osteosarkoma göre daha ileri yaşlarda görülür (20-40 arası). Bu yapı ve davranış değişiklikleri, tanı ve tedavide de farklılık yaratır. Tamamen selim bir oluşum olan myositis ossifikans (kas içi kemikleşme) ile karıştırılmamalıdır.
Tedavi, yerleşim ve biyolojik davranışa göre özellik gösterir. Kemiğin çevresini ve komşu dokuları tuttuğu için sıklıkla kemiğe komşu damar ve sinir yapılarını da sarar. Cerrahide bu mutlaka dikkate alınmalıdır.

Düşük dereceli bir osteosarkom olması nedeniyle vücudun başka bölgelerine sıçraması (metastaz) daha geç ve güç olur. Ancak bulunduğu yerde tekrarlama (lokal nüks) özelliği klasik osteosarkoma göre daha fazladır. Üstelik kemoterapiye de duyarsızdır. Bu nedenle cerrahi tedavinin daha kolay ve güvenli bir şekilde yapılabilmesini sağlayan kemoterapinin tedavide yeri yoktur. Tek tedavi şansı, tümörün emniyetli sınırlarla çıkartılmasıdır. Gerekirse uzvu besleyen ana damarlar da çıkartılmalı ve değiştirilmelidir. Yetersiz cerrahi, tümörün tekrarlamasına, giderek derecesinin yükselmesine ve metastaz riskinin artmasına yol açar.

örnek-1

örnek-2

örnek-3

- İntraosseöz Osteosarkom (düşük dereceli santral / intramedüller)
Kemik yapımının yıkımından daha ön planda olduğu, kemiklerin merkezlerine yerleşen ve sıklıkla düşük dereceli bir osteosarkom tipidir. Bunlar da parosteal osteosarkomlar gibi kemoterapiye duyarsızdır ve tek tedavi şekli emniyetli sınırlarla çıkartılmalarıdır.

örnek-1  İntraosseöz osteosarkom

- Periosteal Osteosarkomlar
Kemik çevresindeki zardan kaynaklanan osteosarkom tipidir. Bu da sıklıkla düşük derecelidir ve emniyetli sınırlarla çıkartılması gereklidir.

örnek-1  Periosteal osteosarkomlar - 1

örnek-2  Periosteal osteosarkomlar - 2

Muayene Talep Formu

Listemize kaydolun, duyurularımızdan haberdar olun.

Bilgilerimi Güncelle

Şifremi Güncelle